Joint Replacement

Best Treatment for Muscle and Bones in Virar & Mumbai

IVF Procedure
Fertility Consultation
Embryo Transfer

Joint Replacement

At Sachren Orthopaedic Hospital and IVF Centre, we are committed to providing exceptional joint replacement services to help you regain mobility and improve your quality of life.

Comprehensive Care and Advanced Techniques
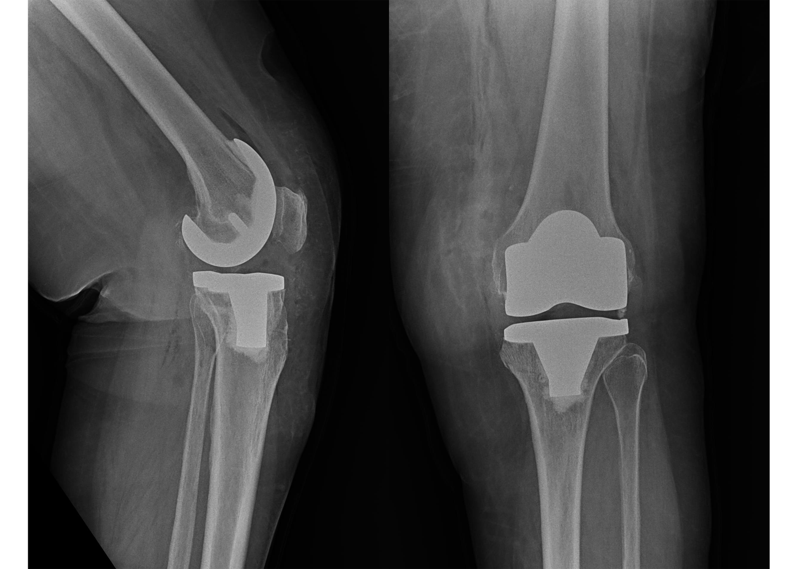
1. Total Knee Replacement (TKR):

Our Total Knee Replacement procedures are designed to relieve pain and restore function in patients suffering from severe arthritis or knee damage. Using advanced surgical techniques and high-quality prosthetic implants, we ensure that patients receive the best possible care and achieve optimal recovery.

2. Total Hip Replacement (THR):

For patients experiencing debilitating hip pain due to arthritis, fractures, or other conditions, our Total Hip Replacement services offer a reliable solution. Our surgeons utilize minimally invasive techniques to reduce recovery time and improve surgical outcomes, ensuring that patients can return to their daily activities with greater ease.

3. Shoulder Replacement:

Shoulder replacement surgery at Sachren Orthopaedic Hospital and IVF Centre is tailored to address severe shoulder arthritis or complex fractures. Our team uses the latest prosthetic designs and surgical methods to provide patients with improved shoulder function and pain relief.

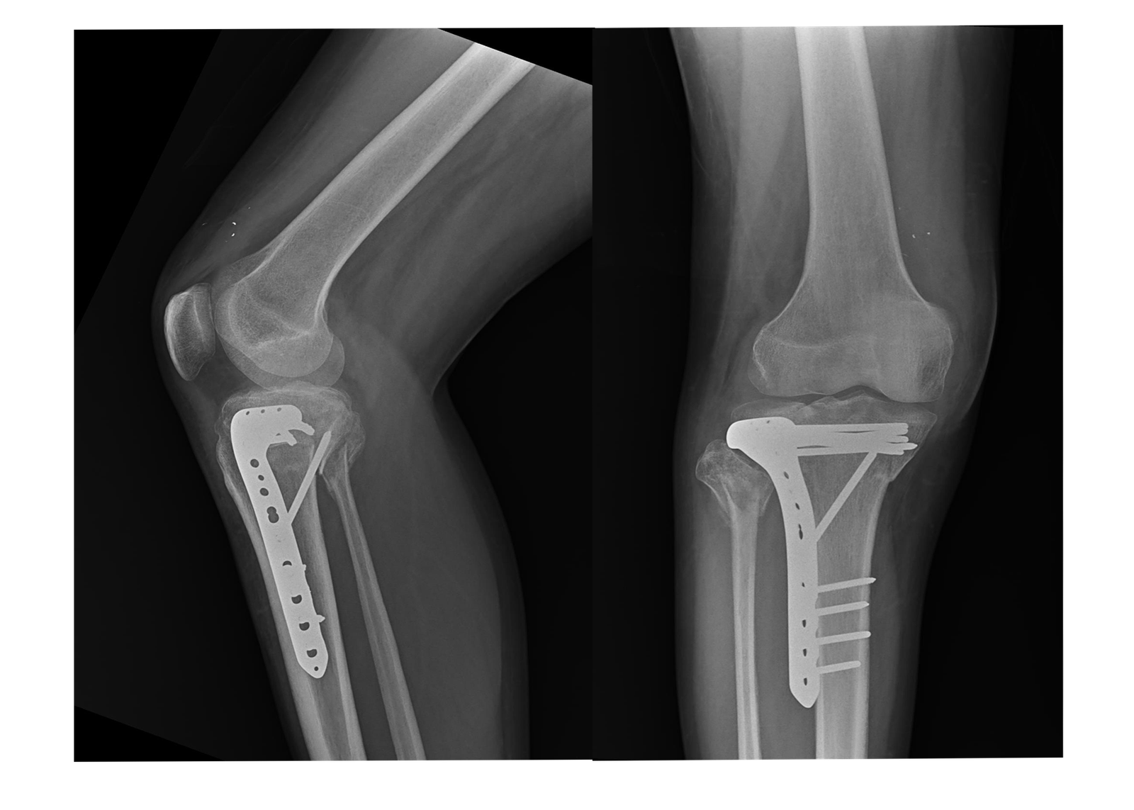
4. Revision Joint Replacement:

We also specialize in revision joint replacement surgeries for patients who have previously undergone joint replacement but are experiencing complications or implant failures. Our expertise in this area allows us to offer effective solutions and restore joint function.

Patient-Centered Approach

At Sachren Orthopaedic Hospital and IVF Centre, we prioritize patient education and engagement throughout the treatment process. From the initial consultation to post-operative care, our team provides comprehensive support and guidance to ensure that patients are well-informed and comfortable with their treatment plan.

Preoperative Assessment and Planning:

Every patient undergoes a thorough preoperative assessment to determine the best course of action. This includes detailed imaging studies, physical evaluations, and consultations to discuss the surgical plan and expected outcomes.

Customized Rehabilitation Programs:

Post-surgery, we offer tailored rehabilitation programs designed to aid in a swift and successful recovery. Our physiotherapists work closely with patients to develop personalized exercise regimens that enhance mobility, strengthen muscles, and promote healing.

State-of-the-Art Facilities:

Our operation theatres are equipped with the latest surgical instruments and air handling units with laminar flow systems to maintain a sterile environment and minimize the risk of infection. Additionally, our 24-hour emergency services and in-house pharmacy ensure that patients receive continuous care and support.

Commitment to Excellence

Sachren Orthopaedic Hospital and IVF Centre is dedicated to maintaining the highest standards of medical care. Our ongoing commitment to excellence, combined with our advanced facilities and skilled team, ensures that patients receive the best possible treatment for joint replacement surgeries.

Whether you are dealing with chronic pain or mobility issues, our joint replacement services are designed to help you get back to enjoying an active and healthy lifestyle. Contact us today to learn more about how we can assist you on your journey to recovery.

Take the First Step Towards Effective Joint Replacement Treatment. If you or your loved one is suffering from painful joint conditions or needs relief from joint instability, we encourage you to seek expert advice and consultation with Dr. Sachin Zambare. Contact Us at +918530046800/+918530064800

"Book an appointment today and let us help you or your loved one recover and live a healthier, pain-free life!"

X-Rays

Our Orthopaedic Specialist

IVF Specialist

Patient Testimonials

patient_image
Tanisha Angel:
"Overall experience was nice. My grandma had knee replacement surgery. The doctors including nurse were very kind and looked after her. Hospital is very neat and clean adding to that the rooms were also clean."
patient_image
Sushant Mayekar:
"My father had a hip replacement surgery at Sachren orthopaedic hospital .The whole process was seamless, from the initial consultation to the post-op follow-up. Dr. Sachin was very attentive and made us feel at ease. The hospital's cleanliness is also commendable!Best orthopaedic hospital in Virar ! Would highly recommend for any ortho problem !"

Our Orthopaedic Services

Orthopaedic and Trauma Care
Orthopaedic and Trauma Care
Learn More
Spine Surgery and Spinal Disorders
Spine Surgery and Spinal Disorders
Learn More
Joint Replacement
Joint Replacement
Learn More
Arthroscopy Knee, Shoulder & Ankle
Arthroscopy Knee, Shoulder & Ankle
Learn More
Vertebroplasty
Vertebroplasty
Learn More
Ankle Foot Surgery
Ankle Foot Surgery
Learn More
Sports Medicine

Sports Medicine

Learn More
Hand & Microvascular Surgeries
Hand & Microvascular Surgeries
Learn More
Pediatric Orthopaedics
Pediatric Orthopaedics
Learn More
Rheumatology & Arthritis
Rheumatology & Arthritis
Learn More
Rheumatology & Arthritis
Pain Management
Learn More
Rheumatology & Arthritis
Physiotherapy & Rehabilitation
Learn More